
All-on-4 Dental Implants in Mississauga
All-on-4 Mississauga is a life-changing dental implant system that replaces an entire arch of missing or failing teeth with a fixed, non-removable prosthesis supported by just four implants. At North Star Dentistry, these implants are strategically angled to maximize your available bone, often eliminating the need for bone grafting. We utilize precise CBCT 3D planning, accept the CDCP, and proudly offer 0% interest financing for 2-year terms to make your full-arch restoration accessible.
A New Smile in One Day
- Full-Arch Restoration: All-on-4 replaces a full arch of teeth with a permanent, fixed prosthesis anchored on just four implants.
- No Bone Grafting Required: Angled posterior implants actively maximize available bone contact, meaning bone grafting is typically not required in most cases.
- Advanced Planning: We use advanced CBCT imaging for ultra-precise surgical planning.
- Immediate Function: A temporary fixed prosthesis is typically placed the exact same day as your implant surgery, allowing you to leave with a full smile.
- Accessible Financing: Third-party financing at 0% interest for 2-year terms is available for these complex cases.
- CDCP Accepted: The Canadian Dental Care Plan is accepted with no exclusions.
When severe decay, gum disease, or trauma has compromised an entire arch of teeth, removable dentures are no longer the only option. For patients determining the best provider for full arch dental implants near Mississauga, North Star Dentistry offers a permanent, life-changing solution.
All-on-4 dental implants Mississauga replace an entire arch of missing or failing teeth with a fixed, non-removable prosthesis. It is the closest thing to getting your natural teeth back, allowing you to eat, speak, and smile with absolute confidence.
What Is All-on-4, and How Does It Differ From Individual Implants?
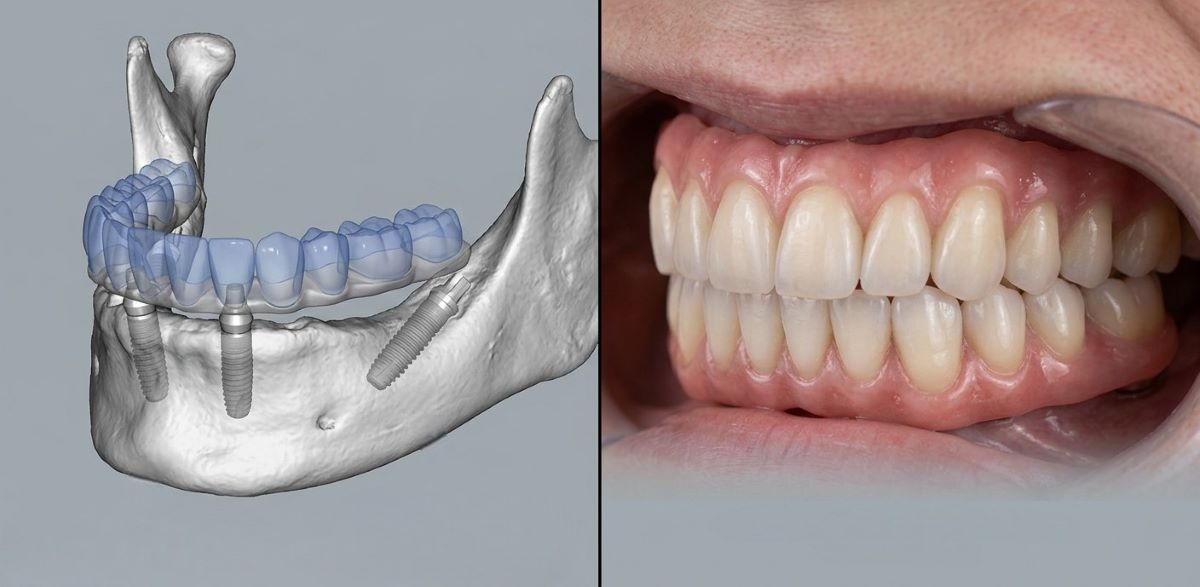
All-on-4 is an innovative full-arch implant concept. Instead of replacing teeth one by one, just four implants are used to support an entire arch (upper, lower, or both) with a fixed, bridge-style prosthesis.
The secret lies in the angulation. The two posterior (back) implants are placed at a strategic angle (typically 30–45 degrees). This allows the implants to engage a much greater volume of available, dense bone. Because of this, bone grafting is typically not required, even when the jawbone has experienced significant resorption over time.
All-on-4 vs. Individual Implants vs. Full Dentures
| Factor | All-on-4 | Multiple Individual Implants | Conventional Full Denture |
|---|---|---|---|
| Fixed or Removable | Fixed (Non-Removable) | Fixed | Removable |
| Implants Needed | 4 per arch | One per tooth (typically 6–8 for a full arch) | None |
| Bone Grafting | Rarely Required | Sometimes Required | Not Required |
| Feels Natural | Very Close | Closest | Less Natural (Bulky) |
| Bone Preservation | Yes | Yes | No (Bone continues to shrink) |
| Cleaning | Water flosser & specific tools | Normal brushing & implant floss | Remove and soak |
| Timeline | Fixed prosthesis often same day | Staged over many months | Immediate |

Who Is a Candidate for All-on-4?
Candidacy is never a default recommendation. It is determined through a comprehensive clinical assessment and precise CBCT 3D imaging. We typically recommend this solution for:
- Patients who are completely edentulous (no remaining teeth) in one or both arches.
- Patients with a severely failing dentition, multiple teeth that are beyond restoration and require full-arch extraction.
- Patients who have been wearing removable dentures and desperately want a fixed, non-removable alternative.
- Patients with moderate bone loss, the angled implant design often allows treatment without heavy bone grafting.
Note: Because All-on-4 surgery is a significant procedure, your general health status will be assessed closely at your consultation.
What Does the All-on-4 Process Look Like?
Consultation and CBCT Imaging
We use a CBCT 3D scanner to map the exact three-dimensional bone architecture of your jaw. This identifies available bone volume, bone density, sinus proximity, nerve location, and the optimal implant angles before surgery begins.
Surgical Appointment
Any remaining failing teeth are gently extracted. The four implants are then placed, two at the front in an upright position, and two at the back at the planned angle. In most cases, a temporary fixed prosthesis is attached to the implants at this exact same appointment, giving you teeth in a day Mississauga.
Osseointegration Phase
The implants integrate with your jawbone over a period of 3–6 months. Your temporary prosthesis allows you to function comfortably during this period.
Final Prosthesis Delivery
After integration is fully confirmed, your final prosthesis, fabricated in a dental laboratory to precise aesthetic and functional specifications, is delivered and permanently attached to the implants.
How Are Costs and Financing Handled?
We understand that this is a significant investment in your quality of life. The All-on-4 cost Mississauga varies based on arch count, the final prosthesis material, and any preparatory procedures needed.
- A highly personalized cost plan is provided after your CBCT assessment.
- To make this life-changing care accessible, we offer third-party financing at 0% interest for 2-year terms.
- The CDCP is proudly accepted with no exclusions. Coverage depends strictly on your individual eligibility.
FAQs About All-on-4 Dental Implants
Book Your Consultation Today
Replace your entire arch, fixed, natural-looking, and done in one day.
If you are wearing dentures and want a permanent fixed alternative, or if you have failing teeth that need full-arch replacement, this consultation will show you exactly what is possible.
- Advanced Technology: iTero 3D scanning, bite analysis, and TMJ evaluation.
- Accessible Care: 0% financing for 2 years and CDCP acceptance.
Use the booking buttons below to schedule your All-on-4 consultation in Mississauga today!
Book AppointmentReady to Book?
Schedule your All-on-4 consultation today. We're here to help you achieve your healthiest smile.
Book Appointment(905) 274 0442