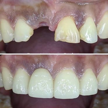
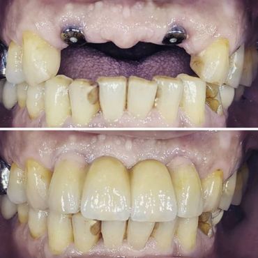
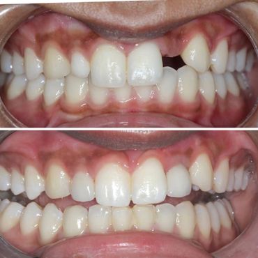
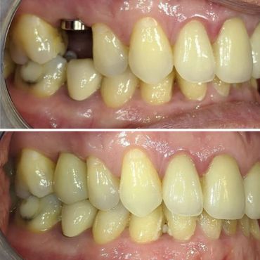
When natural teeth are lost, the face begins to show signs of aging due to bone loss. If you wait too long, the food chewing muscles begin to shorten to accommodate the reduced space between your nose and your chin. Missing one or more teeth could affect the overall health of the surrounding teeth and gums. A dental Implant is the solution to stop bone loss and restore the facial skeletal structure.
A dental implant is an artificial replacement of the root of a tooth. It is a viable option for people of all ages who are in good oral health. The implant is normally a cylinder-shaped metal post inserted and fused into the bone. A replacement tooth is then fitted onto it once it fuses into the bone. With the implant, one can eat, chew, and brush normally.
Benefits of Dental Implants:
1. Restore the ability to properly chew and speak.
2. Restore normal facial aesthetics
3. Preserve the remaining jaw bone and prevent resorption.
4. Recover of the natural function of teeth
5. Increased confidence
6. No need to remove and clean an appliance such as dentures.
With proper care, dental implants will last a lifetime.
Replacing missing teeth? We got you! Call us to book your Implant Consult in Mississauga. Payment plans available!

Dental Implants - Book your consult now!

















North Star Dentistry
714 Lakeshore Road East, Mississauga, Ontario L5G 1R5, Canada
Copyright © 2025 North Star Dentistry - All Rights Reserved.