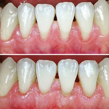
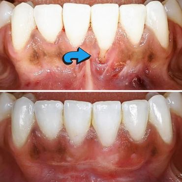
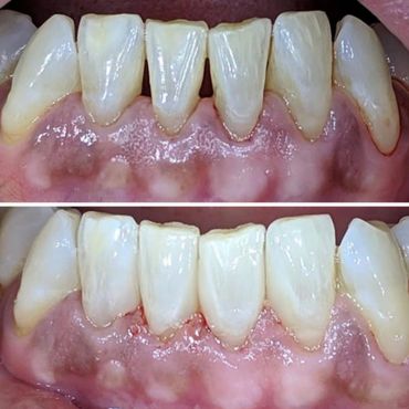
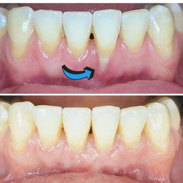
Periodontal (Gum) Disease is an infection caused by bacteria found in plaque. As the bacteria spread below the gum line, the gums and bone around the teeth begin to break down and cause tooth mobility and, if untreated, tooth loss. It is sometimes associated with chronic diseases such as diabetes and linked to a variety of health issues including heart disease and stroke. Sometimes, this condition is purely genetic. Some noted causes of Periodontal (Gum) Disease include smoking, excessive consumption of alcohol, improper use of dental floss and toothpicks, poor nutrition, vitamin C deficiency, pregnancy and certain medications.
Periodontitis or Gum Disease is today’s #1 cause of tooth mobility and loss. It affects 4 out of 5 people at some point during their lives.
The dentist will examine you clinically and read your probing charts to determine whether or not a monthly oral care management system (STM program) will be effective. In advanced cases, your general dentist will refer you to a periodontist for advanced and/or surgical treatment.
The Soft Tissue Management (STM) is a cost friendly, non-invasive personalized plan to reduce infection of the gum and root surfaces, performed by the dentist or the dental hygienist. This personalized program includes specialized cleanings to remove harmful deposits, treatment with antibacterial agent to help kill bacteria, home care education and supplements and close monitoring. Some dental plans cover all or a portion of the treatment.





North Star Dentistry
714 Lakeshore Road East, Mississauga, Ontario L5G 1R5, Canada
Copyright © 2025 North Star Dentistry - All Rights Reserved.
